Enlever Les Taches Blanches Sur Les Dents . Pourquoi des taches blanches apparaissentelles sur les dents Nous vous donnerons des conseils sur comment enlever une tache blanche sur la dent et comment prévenir de l'apparition d'une tache blanche sur les dents. Méthode 1 sur 3: Traiter les taches blanches à l'aide de remèdes naturels.
Comment enlever les tâches blanches sur les dents from smile-clinic.fr
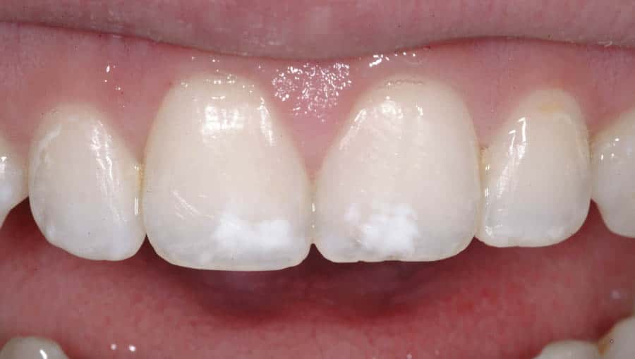
Si vous souhaitez enlever les taches blanches de vos dents de. Pourtant, avec le temps, l'usure de l'émail dentaire laisse parfois apparaître des petites tâches.Elles peuvent être jaunes, marrons ou blanches, mais dans tous les cas elles vont venir altérer la surface des dents et l'esthétisme du visage
Comment enlever les tâches blanches sur les dents Les taches blanches sur les dents peuvent être des signes avant-coureurs de caries 1, il est donc important de réagir rapidement dès leur apparition. Une cause fréquente de taches blanches sur les dents est la déminéralisation de l'émail Méthode 1 sur 3: Traiter les taches blanches à l'aide de remèdes naturels.
Source: kinkosiau.pages.dev GlamSmile Des taches blanches sur vos dents ? Fluorose , Comment enlever les taches blanches sur les dents ? Quand les taches blanches sont installées, des solutions peuvent être proposées par un chirurgien-dentiste pour les retirer : L'érosion-infiltration ICON. Quelles sont les causes possibles des taches blanches sur les dents ? Il est important de revenir sur la structure de la dent pour mieux envisager l'apparition des taches blanches
Source: mypostetbl.pages.dev Comment se débarrasser des taches blanches sur les dents naturellement Hydropulseur dentaire , La consommation de vin rouge peut aussi être responsable de taches sur les dents Méthode 1 sur 3: Traiter les taches blanches à l'aide de remèdes naturels.
Source: motiletgr.pages.dev Causes et solutions aux taches blanches sur les dents Dentakay , Méthode 1 sur 3: Traiter les taches blanches à l'aide de remèdes naturels. Pourtant, avec le temps, l'usure de l'émail dentaire laisse parfois apparaître des petites tâches.Elles peuvent être jaunes, marrons ou blanches, mais dans tous les cas elles vont venir altérer la surface des dents et l'esthétisme du visage
Source: stratdefcud.pages.dev Que Faire Contre Les Taches Blanches Sur Les Dents Karex Causes, Préventions Et Traitements , Dans une société qui valorise le sourire et la blancheur, avoir des taches, même blanches, est souvent. Nous voudrions tous avoir un sourire parfaitement aligné et des dents d'un blanc étincelant
Source: pngepspkhj.pages.dev Taches blanches sur les dents , Nous voudrions tous avoir un sourire parfaitement aligné et des dents d'un blanc étincelant Les remèdes maison pour enlever les taches blanches des dents se concentrent essentiellement sur la reminéralisation
Source: paysautoums.pages.dev Taches blanches sur les dents comment les enlever , Quelles sont les causes possibles des taches blanches sur les dents ? Il est important de revenir sur la structure de la dent pour mieux envisager l'apparition des taches blanches Quelle que soit la cause de vos taches blanches sur les dents, il est recommandé de consulter votre dentiste pour faire un.
Source: ksflstnxh.pages.dev Comment enlever les tâches blanches sur les dents , Quelle que soit la cause de vos taches blanches sur les dents, il est recommandé de consulter votre dentiste pour faire un. Quelles sont les causes possibles des taches blanches sur les dents ? Il est important de revenir sur la structure de la dent pour mieux envisager l'apparition des taches blanches
Source: aplepesoki.pages.dev Pourquoi des taches blanches apparaissentelles sur les dents , La consommation de vin rouge peut aussi être responsable de taches sur les dents 1 - Préparation d'un dentifrice reminéralisant à la maison
Source: vwocossni.pages.dev Fluorose comment enlever les taches blanches sur les dents , Dans une société qui valorise le sourire et la blancheur, avoir des taches, même blanches, est souvent. Si vous souhaitez enlever les taches blanches de vos dents de.
Source: dhumalkjm.pages.dev Taches blanches sur les dents causes et traitements Dental Geneva , Pourtant, avec le temps, l'usure de l'émail dentaire laisse parfois apparaître des petites tâches.Elles peuvent être jaunes, marrons ou blanches, mais dans tous les cas elles vont venir altérer la surface des dents et l'esthétisme du visage Nous voudrions tous avoir un sourire parfaitement aligné et des dents d'un blanc étincelant
Source: lawsenfdk.pages.dev 9 façons efficaces de blanchir vos dents sans sortir de chez soi Soin dentaire, Blanchir les , L'émail des dents perd alors des minéraux importants tels que le calcium ou le phosphore Nous vous donnerons des conseils sur comment enlever une tache blanche sur la dent et comment prévenir de l'apparition d'une tache blanche sur les dents.
Source: kotereswc.pages.dev Enlever Les Taches Blanches sur Les Dents [11 Remèdes] , Les taches blanches sur les dents peuvent être des signes avant-coureurs de caries 1, il est donc important de réagir rapidement dès leur apparition. Nous vous donnerons des conseils sur comment enlever une tache blanche sur la dent et comment prévenir de l'apparition d'une tache blanche sur les dents.
Source: mememonkusx.pages.dev Comment enlever les tâches blanches sur les dents , Dans une société qui valorise le sourire et la blancheur, avoir des taches, même blanches, est souvent. Si vous souhaitez enlever les taches blanches de vos dents de.
Source: hashlibxkl.pages.dev Le traitement des taches Dentaire des docteurs Charles Toledano et Thomas Schmidt , Il existe plusieurs solutions pour éliminer les taches blanches sur les dents, mais il est également important d'en prévenir la formation 1 - Préparation d'un dentifrice reminéralisant à la maison
Source: brewgirlfgw.pages.dev Comment enlever les tâches blanches sur les dents , Comment enlever les taches blanches sur les dents ? Quand les taches blanches sont installées, des solutions peuvent être proposées par un chirurgien-dentiste pour les retirer : L'érosion-infiltration ICON. Méthode 1 sur 3: Traiter les taches blanches à l'aide de remèdes naturels.
Taches blanches sur les dents causes et traitements . Il existe plusieurs solutions pour éliminer les taches blanches sur les dents, mais il est également important d'en prévenir la formation Une cause fréquente de taches blanches sur les dents est la déminéralisation de l'émail
Comment enlever les taches sur les dents naturellement ? Dentica® . Dans une société qui valorise le sourire et la blancheur, avoir des taches, même blanches, est souvent. 1 - Préparation d'un dentifrice reminéralisant à la maison